Əlaqə
Haqqımızda
00:00:00
İnformator.az
Kateqoriyalar
Siyasət
Sosial
İqtisadiyyat
Mədəniyyət
Hadisə
İdman
Araşdırma
Media
Dünya
Maraqlı
Şərhsiz
Media-Yubiley
Texnologiya
Kriminal
Siyasət
Sosial
İqtisadiyyat
Mədəniyyət
Hadisə
Giriş
Qeydiyyat
Araşdırma
Bu kateqoriyada cəmi 500 xəbər tapıldı.
Dünyada vətəndaşlıq alan ilk robot- Sofiya
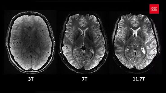
İnsan beyninin ən aydın görüntüsü yayımlanıb
Cəlil Məmmədquluzadə - Atalar sözü
Tarixdə Bu gün-Səməndər Rzayevin anım günü
WhatsApp-a gözlənilən funksiya gəldi! Ekran görüntüsü dövrünü bitirəcək yenilik
İlk
<
…
14
15
16
17
18
…
>
Son